口腔外科
インプラント治療に付随する治療はもちろん、親知らずの埋伏抜歯、舌や粘膜の疾患の治療、炎症、外傷、顎関節症等、外科的処置を伴うさまざまな疾患の治療を行います。症例によっては大学病院等の専門機関を御紹介致します。
口腔外科での主な症状
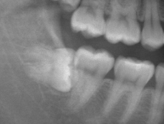
●埋伏歯(親知らず)
斜めに生えてしまったり埋まっている親知らずが痛む。また周囲の歯肉が腫れて痛い。
●顎関節症
口が大きく開かない。アゴを動かすと痛む・カクカクと関節の音が鳴る。
●口腔粘膜疾患(口内炎)
口の中の粘膜が赤くただれている。口の中に触れると痛い小さな潰瘍がある。
●良性腫瘍
口の粘膜や歯ぐき、顎の骨などに腫瘍(できもの)がある。
●外傷
転倒して口の中を切った。歯をぶつけてぐらぐらしている、もしくは歯が抜けた。
●舌痛症
舌が焼けるように痛い、ピリピリする、しびれる。
上記以外にも様々なお口の疾患に対応いたします。お気軽にご相談ください。
親知らずでお困りの方へ
「親知らずが痛いのだけれど、どこの病院に行って良いか分からない」
「近くの歯医者に行ったけれど、うちでは抜けないと言われた」
「周りの人たちに聞くと、親知らずを抜くとかなり痛いと言うので心配」
「親知らずが横になっているのでブラッシングがしにくい」
等々、お悩みやご相談は様々です。ここでは親知らずについてご説明します。ご参考にして頂ければ幸いです。
親知らずって何?
親知らずとは、前歯から数えて8番目にある一番奥の歯のことです。通常は、20代頃に生えてきますが、生まれつき存在しない方もいます。
日本人の顎は昔に比べると小さくなってきていますので、親知らずがキレイに生えず、横に生えることや、歯ぐきに一生埋まったままのこともあります。横になって生えてくると、汚れが溜まりやすくむし歯や口臭の原因になることもあります。また、奥から歯を横に押してしまうため、歯並びを悪くする原因にもなります。
親知らずは抜いた方がいいの?
親知らずは症状に応じて抜歯が必要なケースと不要なケースとに分かれます。
| 抜歯が 必要なケース |
|
|---|---|
| 抜歯が 不要なケース |
|
抜歯の費用について
| 初診料 | 約800円 |
|---|---|
| レントゲン写真 | 約1,200円 |
| 普通抜歯 | 約1,200円~2,100円 |
| 埋伏抜歯 | 約4,000円~5,000円 |
| CT撮影 | 約3,500円 |
親知らずを抜いた後の注意点
- 1、歯を抜いた当日は安静にしてください。
抜いた当日は血行が良くなる行為(運動、飲酒、入浴、サウナ等)を控えて安静にしましょう。
- 2、激しくうがいをしないでください。
抜歯後の穴には血餅(けっぺい)と呼ばれる血の固まりができ、傷口の治癒に役立ちます。強くうがいをすると、この血餅が洗い流されて治りが遅くなってしまいます。
- 3、お薬をしっかり服用してください。
抜歯後は抗生物質と痛み止めが処方されますので歯科医師の指示に従って服用してください。
顎関節症
口を開けると、痛い、または雑音が鳴る、等の症状です。口を開けたり閉めたりするとき以外は痛みがないのが特徴です。大きく、筋肉由来と関節およびその周囲組織由来と骨の形(進行例)に分けられます。
治療は、保存的治療(手術をしない治療)がほとんどで、スプリントというマウスピースを作成します。痛みに比べ、雑音は改善しにくい傾向があります。















